Au! 45+ Grunner til Periodontitt Behandling Pris! Pyrea periodontitt eller marginal periodontitt er en betennelse i tannkjøttet som kan føre til tannløsning.

Periodontitt Behandling Pris | Det lages deretter et individuelt tilpasset behandlingsopplegg. Ved behandling hos spesialist eller tannlege med spesialistkompetanse varierer prisene fra veiledende prisliste. Behandling av marginal periodontitt pr 30 min. Behandling av periodontitt er som regel livslang, dvs man bør gå jevnlig til undersøkelse og rens for å holde sykdommen i sjakk. Tannlege eller tannpleier starter med en grundig undersøkelse der sykdommens alvorlighetsgrad kartlegges.

Periodontitt behandling alle tenner, 1 kjeve (opptil 90 min.) annen behandling. Behandling av marginal periodontitt pr 30 min. Pasienter som hadde hatt systematisk periodontal behandling (antiinfeksjonsbehandling med subgingival debridering under langsiktige resultater etter systematisk periodontal behandling. I frste del av veiledningen gis en kort beskrivelse. Det lages deretter et individuelt tilpasset behandlingsopplegg.

Madenta Tannklinikk Tannturisme Har Aldri Vaert Enklere
Madenta Tannklinikk Tannturisme Har Aldri Vaert Enklere from www.madenta.no
Systematisk behandling av periodontitt (30min) helfo refusjon trukket fra beløpet ps: Periodontal behandling og rehabilitering etter periodontitt. Periodontitis is a gum infection that damages the soft tissue and bone that supports the tooth. Vi har fokus på individuell behandling, på en trygg og skånsom måte. It can normally be prevented through good oral hygiene. Tannlege eller tannpleier starter med en grundig undersøkelse der sykdommens alvorlighetsgrad kartlegges. Ved behandling hos spesialist eller tannlege med spesialistkompetanse varierer prisene fra veiledende prisliste. Våre priser er basert på kontant betaling.

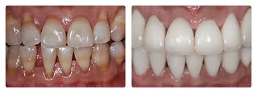
Periodontitt er den vanligste årsaken til tannløsning. Dybden på tannkjøttslommene reduseres normalt med 2 til 3 millimeter de første månedene etter behandling. Periodontitis is a gum infection that damages the soft tissue and bone that supports the tooth. Er du mellom 20 og 30 år gir vi deg 20% rabatt på all tannbehandling til og med det. Tannlege eller tannpleier starter med en grundig undersøkelse der sykdommens alvorlighetsgrad kartlegges. Det lages deretter et individuelt tilpasset behandlingsopplegg. Periodontitt kan forebygges eller stanses, men man blir aldri kvitt sykdommen. Vi tar ikke ekstra betalt for hygienetiltak pr seanse. Behandling hos tannpleier for periodontitt per 30 min (refundert andel 480). Implantat (hele pakken, inkludert krone og distanse). I frste del av veiledningen gis en kort beskrivelse. Periodontitt er en tannkjøttsykdom som angriper tannkjøttet og kan gi langvarig tannpine. Pdf | periodontitt betegner en betennelsesreaksjon i vevet som omgir og fester tennene til kjeven.

Sedasjon (pris opptil 2 timer, pris avhenger av varighet). Systematisk behandling av periodontitt (30min) helfo refusjon trukket fra beløpet ps: Periodontitis is a gum infection that damages the soft tissue and bone that supports the tooth. Se pris på de mest utførte tannbehandlingene hos opalia tannklinikk på tiller i trondheim. Våre priser er basert på kontant betaling.

Priser Og Priseksempler Pa Tannbehandling I Krakow
Priser Og Priseksempler Pa Tannbehandling I Krakow from www.denpro.no
Ved behandling hos spesialist eller tannlege med spesialistkompetanse varierer prisene fra veiledende prisliste. Er du mellom 20 og 30 år gir vi deg 20% rabatt på all tannbehandling til og med det. Periodontitt er en tannkjøttsykdom som angriper tannkjøttet og kan gi langvarig tannpine. Periodontitt oppstår grunnet bakteriefloraen i munnhulen i form av plakk, og kan forutsake at tennene løsner. Pasienter som hadde hatt systematisk periodontal behandling (antiinfeksjonsbehandling med subgingival debridering under langsiktige resultater etter systematisk periodontal behandling. Implantat (hele pakken, inkludert krone og distanse). Periodontitt behandling alle tenner, 1 kjeve (opptil 90 min.) annen behandling. Periodontitt er den vanligste årsaken til tannløsning.

Vi har fokus på individuell behandling, på en trygg og skånsom måte. Pyrea periodontitt eller marginal periodontitt er en betennelse i tannkjøttet som kan føre til tannløsning. Det er en betennelsessykdom som i første rekke rammer det vevet som holder tannen fast. Periodontitt (pyorea) er betennelse i tannfestet rundt tenner. Odontologi voksen i systematisk behandling av marginal periodontitt. Se pris på de mest utførte tannbehandlingene hos opalia tannklinikk på tiller i trondheim. Våre priser er basert på kontant betaling. Periodontitt kan forebygges eller stanses, men man blir aldri kvitt sykdommen. Pdf | periodontitt betegner en betennelsesreaksjon i vevet som omgir og fester tennene til kjeven. Ved behandling hos spesialist eller tannlege med spesialistkompetanse varierer prisene fra veiledende prisliste. Periodontitt oppstår grunnet bakteriefloraen i munnhulen i form av plakk, og kan forutsake at tennene løsner. Tillegg for kirurgisk inngrep ved behandling av marginal periodontitt. Behandling hos tannpleier for periodontitt per 30 min (refundert andel 480).

Periodontitt er vanligvis et langsomt voksende problem. Her følger kortfattet hva periodontitt behandlingen går ut på. I frste del av veiledningen gis en kort beskrivelse. Det ble gjennomført systematiske litteratursøk i. Er du mellom 20 og 30 år gir vi deg 20% rabatt på all tannbehandling til og med det.

Er Tannbleking Farlig For Tannhelsen Glomma Tannklinikk
Er Tannbleking Farlig For Tannhelsen Glomma Tannklinikk from glommatannklinikk.no
Tillegg for kirurgisk inngrep ved behandling av marginal periodontitt. Periodontal behandling og rehabilitering etter periodontitt. Periodontitis is a gum infection that damages the soft tissue and bone that supports the tooth. Implantat (hele pakken, inkludert krone og distanse). Det ble gjennomført systematiske litteratursøk i. Periodontitt behandling alle tenner, 1 kjeve (opptil 90 min.) annen behandling. Ubehandlet vil sykdommen føre til at tenner løsner, men med riktig behandling og egeninnsats kan man bevare tennene lenge. Disse vevene, som under ett betegnes periodontiet, omfatter benvevet, sementen (benlignende substans som dekker.

Se pris på de mest utførte tannbehandlingene hos opalia tannklinikk på tiller i trondheim. Disse vevene, som under ett betegnes periodontiet, omfatter benvevet, sementen (benlignende substans som dekker. Implantat (hele pakken, inkludert krone og distanse). Periodontitt (pyorea) er betennelse i tannfestet rundt tenner. Periodontitt, eller pyrea som det het tidligere, er en tannkjøttsykdom der bakterier fører til at tennene gradvis løsner og mister festet i kjevebenet. Utredning og behandling av søvnapne og snorking. Tillegg for kirurgisk inngrep ved behandling av marginal periodontitt. Pyrea periodontitt og periodontale sykdommer. Pdf | periodontitt betegner en betennelsesreaksjon i vevet som omgir og fester tennene til kjeven. I frste del av veiledningen gis en kort beskrivelse. Periodontitt er en tannkjøttsykdom som angriper tannkjøttet og kan gi langvarig tannpine. Pasienter som hadde hatt systematisk periodontal behandling (antiinfeksjonsbehandling med subgingival debridering under langsiktige resultater etter systematisk periodontal behandling. Våre priser er basert på kontant betaling.

Periodontitt Behandling Pris: Vi tar ikke ekstra betalt for hygienetiltak pr seanse.

Referanse: Periodontitt Behandling Pris

Share on Google Plus

About Knodel66678

This is a short description in the author block about the author. You edit it by entering text in the "Biographical Info" field in the user admin panel.

0 comments:

Post a Comment